PROTOCOLO ALL-ON-FOUR EM BELÉM
IMPLANTES FIXOS COM EXCELÊNCIA
Somos pioneiros na técnica que devolve função mastigatória,
estética e qualidade de vida com apenas 4 implantes.
O que é o All-on-Four?
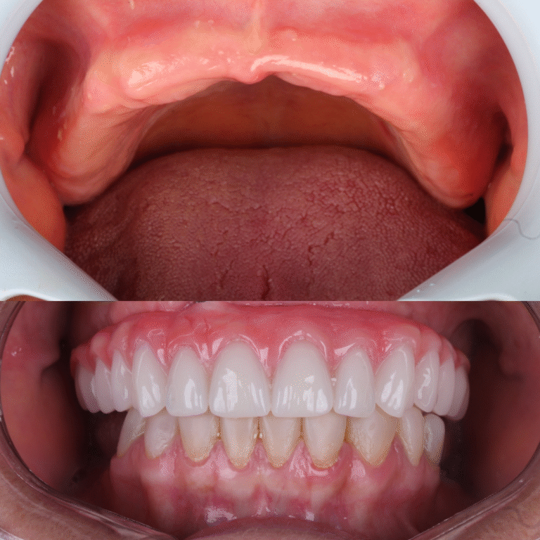
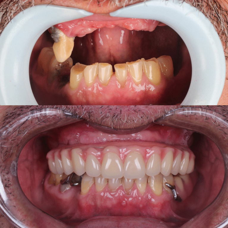
O All-on-Four é um protocolo de implantes dentários que utiliza apenas 4 implantes para fixar uma prótese total, substituindo todos os dentes da arcada.
Diferente de técnicas convencionais, não exige enxertos ósseos na maioria dos casos, tornando o tratamento mais rápido e confortável.
Na Sorridi Odontologia Especializada, o protocolo é realizado com excelência, priorizando:
✔️ Menor invasividade
✔️ Menos tempo de tratamento
✔️ Máxima previsibilidade
✔️ Resultados duradouros e estéticos
Agende sua avaliação e descubra como essa técnica pode transformar a sua vida!
Depoimentos que inspiram confiança
Assista aos relatos de quem já viveu a experiência Sorridi e descubra como podemos transformar também o seu sorriso!
Mais do que estética, uma vida nova!
O Protocolo All-on-Four é ideal para pacientes que:

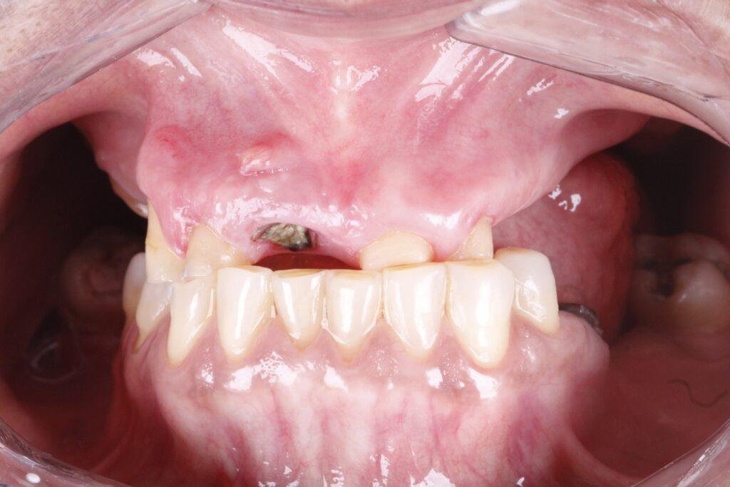
Perderam todos os dentes ou têm dentes comprometidos e desejam uma solução fixa e duradoura.

Buscam recuperar a função mastigatória para voltar a se alimentar com liberdade e prazer.

Valorizam qualidade de vida e autoestima, mas sem procedimentos demorados ou complexos como enxertos.

Não querem mais usar próteses móveis (dentaduras) por desconforto ou insegurança ao falar, sorrir e mastigar.

Desejam um sorriso natural, bonito, saudável e estável. Sem medo de se relacionar ou falar em público.

Estão na faixa dos 45 a 65 anos, homens e mulheres que querem voltar a sorrir com confiança.
É uma técnica moderna que utiliza apenas 4 implantes estrategicamente posicionados para suportar uma prótese fixa, devolvendo função mastigatória, estética e conforto sem necessidade de enxertos.
Sim. Na Sorridi, contamos com mais de 20 anos de experiência, pioneirismo em Belém e professores universitários especialistas na técnica, garantindo previsibilidade e resultados estáveis.
Na maioria dos casos, não. O All-on-Four dispensa enxertos, oferecendo um procedimento mais rápido, seguro e menos invasivo.
Em muitos casos, é possível instalar dentes fixos no mesmo dia da cirurgia. Isso significa que o paciente recupera a estética do sorriso e a função mastigatória muito mais rápido do que em técnicas convencionais.
Segundo o Dr. Arnaldo, pioneiro em Belém na técnica do All-on-Four, o tratamento com implantes, especialmente a prótese protocolo, vai muito além da cirurgia.
Planejamento minucioso, cada caso é estudado em detalhe, respeitando as necessidades e particularidades de cada paciente.
Execução precisa, técnicas avançadas e seguras garantem conforto durante o procedimento e resultados previsíveis.
Acompanhamento contínuo, revisões e manutenções periódicas são fundamentais para preservar a saúde bucal e prolongar a vida útil da prótese.
Na Sorridi Odontologia Especializada, o cuidado não termina quando você recebe sua prótese.
Aqui, o compromisso é do início ao sempre, acompanhamos sua jornada de transformação para que seu sorriso continue saudável, bonito e funcional por muitos anos.
Diferenciais da Clínica Sorridi
Está em dúvida ou inseguro de realizar o procedimento?
Agende uma avaliação e converse com nossos
especialistas e descubra novos motivos para sorrir com segurança.
Nossa equipe de implantodontia
Juntos, oferecem tratamentos personalizados e integrados, devolvendo qualidade de vida e confiança.
Dr. Arnaldo Gonçalves Jr.
Dr. Alexandre
Dr. Felipe
Na Sorridi Odontologia Especializada, o Protocolo All-on-Four é sinônimo de confiança, previsibilidade e transformação de vidas.
Agende sua avaliação e descubra se essa técnica é ideal para você.
Mais de 10.000 próteses já foram realizadas na Sorridi
O tratamento realizado na Sorridi proporcionou uma versão aprimorada de mim mesma. A excelência dos serviços prestados, aliada a valores justos, é notável. O atendimento, um verdadeiro diferencial, demonstra profissionalismo e cortesia em cada detalhe. A equipe de recepção é impecável, sempre cordial e atenciosa, e os profissionais se destacam pela competência e dedicação. Expresso minha mais sincera gratidão por tudo o que a Sorridi fez por mim. A experiência foi, sem dúvida, transformadora.
Fui extremamente bem atendido na Clínica Sorridi. Desde a recepção até o final do meu tratamento, senti o cuidado, a atenção e o carinho de toda a equipe. O atendimento é verdadeiramente humanizado — me explicaram tudo com paciência e me trataram com empatia. Me senti seguro, respeitado e valorizado como paciente. Recomendo de olhos fechados!
Estou impressionada com a excelência no atendimento da Clínica Sorridi! Desde o primeiro contato, fui tratada com respeito e atenção. O tratamento humanizado e personalizado foi incrível, me senti em casa. A equipe foi super atenciosa e facilitou todo o processo, tornando o tratamento mais acessível e tranquilo. Parabéns à Clínica Sorridi pelo trabalho incrível! Nota 10/10 👍🏼
Recomendo de olhos fechados! 😊
Minha experiência na Sorridi foi simplesmente excepcional! Desde o primeiro atendimento, fui recebida com muita cordialidade e profissionalismo. A equipe é extremamente atenciosa, os profissionais são competentes e cuidadosos, e o ambiente transmite conforto e confiança.
Saí de lá muito satisfeita com o atendimento e o resultado do meu tratamento. Recomendo de olhos fechados! Parabéns a toda a equipe pelo excelente trabalho!
Veja alguns dos resultados obtidos através dos nossos tratamentos especializados.
Conheça nossa estrutura





















